Implanty zębowe w Lublinie to coraz popularniejsza metoda uzupełniania braków w uzębieniu, która przynosi wiele korzyści. Przede wszystkim, implanty są trwałym rozwiązaniem, które może służyć przez wiele lat, a nawet całe życie, jeśli są odpowiednio pielęgnowane. W przeciwieństwie do tradycyjnych protez, które mogą powodować dyskomfort i wymagać częstej wymiany, implanty są osadzone w kości szczęki, co zapewnia stabilność i naturalne odczucie. Kolejną zaletą jest estetyka – implanty wyglądają jak naturalne zęby, co wpływa na pewność siebie pacjentów. Dodatkowo, ich obecność zapobiega zanikowi kości szczęki, który często występuje po utracie zęba. W Lublinie wiele klinik stomatologicznych oferuje nowoczesne technologie oraz indywidualne podejście do pacjenta, co zwiększa komfort i bezpieczeństwo zabiegu. Warto również zaznaczyć, że proces wszczepienia implantu jest coraz bardziej zaawansowany technologicznie, co minimalizuje ból i czas rekonwalescencji.
Jak przebiega proces zakupu implantów zębowych w Lublinie
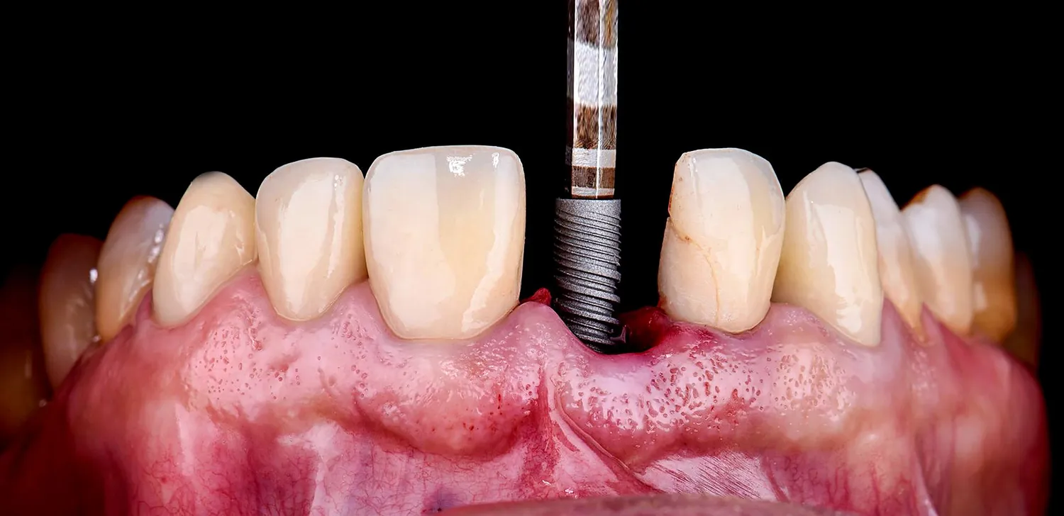
Zakup implantów zębowych w Lublinie to proces, który składa się z kilku kluczowych etapów, zapewniających skuteczność oraz bezpieczeństwo leczenia. Pierwszym krokiem jest konsultacja ze specjalistą stomatologii implantologicznej, który oceni stan zdrowia jamy ustnej pacjenta oraz przeprowadzi niezbędne badania diagnostyczne. Na podstawie tych informacji lekarz podejmie decyzję o możliwości wszczepienia implantu oraz zaplanuje szczegółowy harmonogram leczenia. Następnie następuje etap przygotowania do zabiegu – może być konieczne wykonanie dodatkowych procedur, takich jak podniesienie dna zatoki czy przeszczep kości. Sam zabieg wszczepienia implantu odbywa się w znieczuleniu miejscowym i trwa zazwyczaj od jednej do dwóch godzin. Po jego zakończeniu pacjent otrzymuje szczegółowe instrukcje dotyczące pielęgnacji oraz ewentualnych ograniczeń w diecie. Ważnym elementem procesu jest także okres gojenia, który trwa od kilku tygodni do kilku miesięcy, podczas którego implant integruje się z kością. Po zakończeniu tego etapu można przystąpić do wykonania korony protetycznej, która zostanie umieszczona na implancie.
Jakie są koszty związane z implantami zębowymi w Lublinie

Koszty związane z implantami zębowymi w Lublinie mogą się znacznie różnić w zależności od wielu czynników, takich jak rodzaj użytych materiałów, doświadczenie lekarza oraz lokalizacja kliniki. Średnio cena jednego implantu wynosi od kilku do kilkunastu tysięcy złotych, co obejmuje nie tylko sam implant, ale także zabieg chirurgiczny oraz późniejsze wizyty kontrolne. Warto zwrócić uwagę na to, że niektóre kliniki oferują pakiety usług, które mogą obejmować wszystkie etapy leczenia w atrakcyjnej cenie. Dodatkowo istnieją opcje finansowania zabiegów na raty lub korzystania z ubezpieczeń zdrowotnych, co może znacząco obniżyć koszty dla pacjentów. Należy również pamiętać o dodatkowych wydatkach związanych z ewentualnymi procedurami przygotowawczymi, takimi jak przeszczepy kości czy leczenie chorób przyzębia. Dlatego przed podjęciem decyzji warto dokładnie zapoznać się z ofertami różnych klinik i porównać ceny oraz zakres usług.
Jak dbać o implanty zębowe po ich wszczepieniu w Lublinie
Dbanie o implanty zębowe po ich wszczepieniu w Lublinie jest kluczowe dla zapewnienia ich długowieczności oraz zdrowia jamy ustnej. Po zakończeniu procesu gojenia pacjenci powinni stosować się do zaleceń lekarza dotyczących higieny jamy ustnej. Regularne mycie zębów co najmniej dwa razy dziennie oraz używanie nici dentystycznej to podstawowe zasady pielęgnacji. Ważne jest również unikanie twardych pokarmów oraz nadmiernego obciążania implantu przez pierwsze kilka tygodni po zabiegu. Pacjenci powinni regularnie odwiedzać dentystę na kontrole oraz profesjonalne czyszczenie jamy ustnej przynajmniej raz na pół roku. W przypadku wystąpienia jakichkolwiek niepokojących objawów, takich jak ból czy obrzęk wokół implantu, należy niezwłocznie skontaktować się ze specjalistą. Odpowiednia dieta bogata w składniki odżywcze wspiera proces gojenia i regeneracji tkanek wokół implantu.
Jakie są najczęstsze pytania dotyczące implantów zębowych w Lublinie
Wielu pacjentów ma liczne pytania dotyczące implantów zębowych, zwłaszcza gdy rozważają ich wszczepienie w Lublinie. Jednym z najczęściej zadawanych pytań jest to, jak długo trwa cały proces leczenia. Zazwyczaj od pierwszej konsultacji do zakończenia leczenia może minąć od kilku miesięcy do roku, w zależności od indywidualnych potrzeb pacjenta oraz ewentualnych procedur przygotowawczych. Kolejnym istotnym zagadnieniem jest ból związany z zabiegiem – wiele osób obawia się dyskomfortu podczas wszczepienia implantu. Warto jednak zaznaczyć, że zabieg przeprowadzany jest w znieczuleniu miejscowym, co znacząco minimalizuje odczucia bólowe. Pacjenci często pytają również o trwałość implantów – przy odpowiedniej pielęgnacji mogą one służyć przez wiele lat, a nawet całe życie. Inne pytania dotyczą możliwości wystąpienia powikłań po zabiegu oraz tego, jak dbać o zdrowie jamy ustnej po wszczepieniu implantu.
Jakie są różnice między implantami a tradycyjnymi protezami w Lublinie
Wybór między implantami zębowymi a tradycyjnymi protezami to ważna decyzja, która może wpłynąć na komfort i jakość życia pacjenta. Implanty zębowe w Lublinie oferują wiele zalet w porównaniu do protez. Przede wszystkim implanty są trwale osadzone w kości szczęki, co zapewnia im stabilność i naturalne odczucie podczas jedzenia oraz mówienia. W przeciwieństwie do protez, które mogą przesuwać się w jamie ustnej i powodować dyskomfort, implanty eliminują te problemy. Dodatkowo, implanty zapobiegają zanikowi kości szczęki, który jest częstym problemem po utracie zębów. Protezy natomiast wymagają regularnej wymiany i dostosowywania, co wiąże się z dodatkowymi kosztami oraz wizytami u dentysty. Estetyka to kolejny aspekt – implanty wyglądają jak naturalne zęby i są bardziej atrakcyjne wizualnie niż protezy.
Jakie są nowoczesne technologie stosowane przy implantach zębowych w Lublinie
Nowoczesne technologie stosowane przy wszczepianiu implantów zębowych w Lublinie znacznie poprawiły komfort i skuteczność tego rodzaju leczenia. Jedną z najważniejszych innowacji jest zastosowanie cyfrowego planowania zabiegów, które pozwala na precyzyjne określenie lokalizacji implantu oraz jego kąta nachylenia jeszcze przed przystąpieniem do operacji. Dzięki temu lekarze mogą lepiej dostosować zabieg do indywidualnych potrzeb pacjenta oraz zwiększyć szanse na sukces całej procedury. Kolejną nowością są techniki minimalnie inwazyjne, które zmniejszają traumatyzację tkanek oraz czas rekonwalescencji pacjenta. Wykorzystanie technologii 3D do tworzenia modeli anatomicznych szczęki pozwala na dokładniejsze planowanie oraz wykonanie zabiegów. Również materiały używane do produkcji implantów stały się bardziej zaawansowane – obecnie stosuje się tytan oraz ceramikę, które charakteryzują się wysoką biokompatybilnością i odpornością na korozję.
Jakie są opinie pacjentów o implantach zębowych w Lublinie
Opinie pacjentów o implantach zębowych w Lublinie są zazwyczaj bardzo pozytywne i wskazują na wysoką satysfakcję z efektów leczenia. Wielu pacjentów podkreśla znaczną poprawę jakości życia po wszczepieniu implantów – możliwość swobodnego jedzenia ulubionych potraw bez obaw o przesuwanie się protez czy dyskomfort jest dla nich niezwykle istotna. Pacjenci często zwracają uwagę na estetykę implantu – wyglądają one jak naturalne zęby i pozwalają odzyskać pewność siebie podczas uśmiechania się czy mówienia. Wiele osób chwali sobie również profesjonalizm lekarzy oraz personelu medycznego w lubelskich klinikach stomatologicznych, którzy zapewniają wsparcie na każdym etapie leczenia. Niektórzy pacjenci dzielą się swoimi obawami przed zabiegiem, jednak po jego zakończeniu często przyznają, że niepotrzebnie się stresowali, ponieważ sam proces był mniej bolesny niż się spodziewali.
Jak wybrać odpowiednią klinikę stomatologiczną do wszczepienia implantów w Lublinie
Wybór odpowiedniej kliniki stomatologicznej do wszczepienia implantów zębowych w Lublinie jest kluczowy dla sukcesu całego procesu leczenia. Przede wszystkim warto zwrócić uwagę na doświadczenie lekarzy specjalizujących się w implantologii – im większa liczba przeprowadzonych zabiegów, tym większe prawdopodobieństwo pozytywnego wyniku leczenia. Kolejnym istotnym aspektem jest wyposażenie kliniki – nowoczesny sprzęt diagnostyczny oraz technologie stosowane podczas zabiegów mogą znacząco wpłynąć na komfort i bezpieczeństwo pacjenta. Rekomendacje znajomych lub rodziny mogą być pomocne przy wyborze kliniki, ale warto również zapoznać się z opiniami innych pacjentów zamieszczonymi w internecie. Dobrze jest także zwrócić uwagę na ofertę kliniki – niektóre placówki oferują kompleksowe usługi związane z leczeniem implantologicznym, takie jak konsultacje przedzabiegowe czy rehabilitacja pooperacyjna.
Jak długo trwa gojenie po wszczepieniu implantu zębowego w Lublinie
Czas gojenia po wszczepieniu implantu zębowego w Lublinie może różnić się w zależności od wielu czynników, takich jak ogólny stan zdrowia pacjenta czy jakość kości szczęki. Zazwyczaj proces integracji implantu z kością trwa od trzech do sześciu miesięcy. W tym czasie organizm pacjenta musi przeprowadzić proces osteointegracji, czyli zespolenia implantu z tkanką kostną. W przypadku osób palących lub cierpiących na choroby przewlekłe czas gojenia może być wydłużony ze względu na gorszą regenerację tkanek. Po zakończeniu tego etapu możliwe jest przystąpienie do wykonania korony protetycznej, która zostanie umieszczona na implancie.





